 |
歯肉が大変腫れています。
出血を恐れて、腫れている歯肉の周辺を
磨かなかった為に、益々腫れてしまったようです。 |
 |
上から見ると、こんなに腫れています。
この方は歯肉が腫れる、薬は何も飲んでいません
他に何か腫れる原因がありそうです。 |
 |
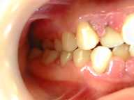
奥歯はそれ程腫れていません。
どうも、口呼吸(口を開いて呼吸する)をする為に
乾燥によって、歯肉が腫れやすくなっている様です。 |
 |
歯の裏側もこんなに腫れています。
歯石、歯の汚れがついているのが分かりますか? |
 |
赤い、染め出し液を塗ってみます。
これで、口をゆすいでもらいます。 |
 |
歯の表面に赤く残っているのが、プラークと言う、細菌の固まりです。
これが、虫歯をつくり、歯肉を腫らせ、それ程痛くないままに、
次第に歯の根の回りの骨を溶かしてしまいます。 |
 |
まず、歯ブラシの練習です。私達はそれ程鏡を見て歯ブラシをしません。鏡を見て、何処を磨かなければならないか?は
分かってきましたので、あとはやってみます。 |
 |
10分も磨くことなんてしませんよね。
でも、あのこびりついたプラークを落とすのには、
結構、熱心にやらないとおちないことが分かります。
現在、治療を初めてから3週間です。治療の経過を
報告させていただきます。
|
|
治療中 |
|
|